تكيس المبايض: التشخيص المبكر مفتاح الصحة الإنجابية

0

تكيس المبايض أو ما يعرف بـ Polycystic Ovary Syndrome (PCOS) هو اضطراب هرموني شائع بين النساء في سن الإنجاب، ويتميز بوجود أكياس صغيرة على المبايض، واضطرابات في الدورة الشهرية، وارتفاع مستويات هرمونات الذكورة. ويعد السبب الأكثر شيوعًا لمشاكل العقم واضطرابات الأيض لدى النساء.

ما هو تكيس المبايض؟

تكيس المبايض ليس مجرد أكياس على المبايض، بل متلازمة هرمونية معقدة تشمل:

  • اضطراب الدورة الشهرية: تأخر أو غياب الإباضة

  • ارتفاع هرمونات الذكورة: شعر زائد، حب الشباب، تساقط الشعر من فروة الرأس

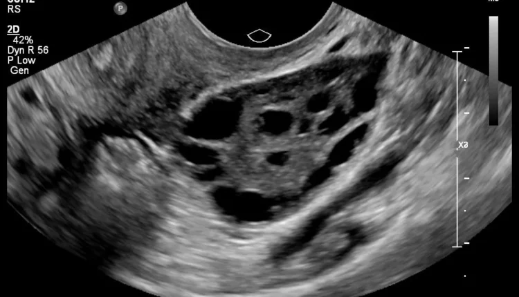
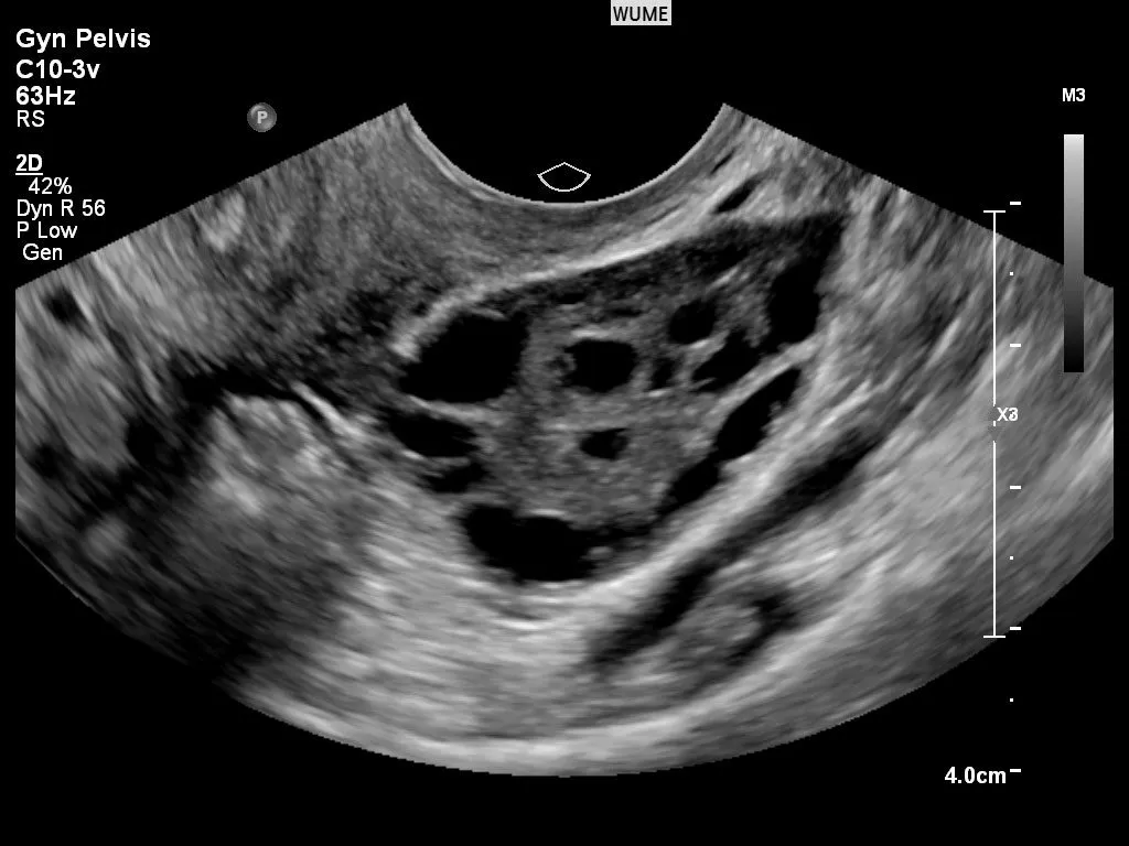
  • أكياس صغيرة على المبايض تظهر عادة بالموجات فوق الصوتية

أسباب المتلازمة

  • الوراثة: وجود تاريخ عائلي يزيد من احتمالية الإصابة

  • اضطراب الإباضة

  • مقاومة الأنسولين: غالبًا ما ترتبط بالسمنة أو زيادة الوزن

  • اختلال التوازن الهرموني

الأعراض الشائعة

  • دورة شهرية غير منتظمة

  • صعوبة الحمل أو العقم

  • زيادة الوزن أو صعوبة فقدانه

  • نمو الشعر الزائد وحب الشباب

  • تساقط الشعر من فروة الرأس

التشخيص المبكر

يعتمد التشخيص على ثلاثة محاور رئيسية:

  1. الأعراض السريرية

  2. الفحوصات المخبرية: قياس هرمونات الذكورة والسكر والأنسولين والهرمونات المسؤولة عن الاباضة

  3. الموجات فوق الصوتية: فحص المبايض

غالبًا يتم التشخيص عند توافر اثنين من هذه المعايير الثلاثة.

العلاج وإدارة الحالة

لا يوجد علاج نهائي، لكن يمكن إدارة الأعراض وتحسين جودة الحياة:

  تعديل نمط الحياة

  • خسارة الوزن عند وجود زيادة

  • ممارسة الرياضة بانتظام

  • اتباع نظام غذائي صحي منخفض السكريات والدهون

  العلاج الدوائي

  • حبوب منع الحمل الهرمونية لتنظيم الدورة

  • أدوية مقاومة الأنسولين

  • أدوية تحفيز الإباضة للراغبات في الحمل

  التدخل الطبي عند الحاجة

  • إجراءات جراحية محدودة لتحفيز الإباضة إذا لم تنجح الطرق الأخرى

المضاعفات المحتملة

إذا لم تُدار المتلازمة بشكل جيد، قد تزيد احتمالات الإصابة بـ:

  • العقم

  • السكري من النوع الثاني

  • ارتفاع ضغط الدم

  • أمراض القلب

  • اضطرابات نفسية مثل الاكتئاب والقلق

الخلاصة

التشخيص المبكر هو مفتاح الصحة الإنجابية لدى النساء المصابات بتكيس المبايض. الالتزام بنمط حياة صحي، والمتابعة الطبية المستمرة، تساعد على التحكم بالأعراض ومنع المضاعفات، مما يضمن حياة صحية وإنجابية أفضل.

اترك رد

لن يتم نشر عنوان بريدك الإلكتروني.